人生能有几个十年,种好牙追求晚年幸福!
麦芽智能AI在线 · 点击咨询 来源:麦芽糖编辑社 更新:2020-01-12 14:26
*说明:文章信息仅供参考,不作为临床口腔医学诊断依据。
过去的困扰
儿子和我都曾经反复问医生,老年人做种植牙安全吗、种植牙会很痛吗?医生跟我说,种牙过程在局麻下进行,全程不会有疼痛感,但理智是清醒的,所以会有感觉,不少人种植牙手术之前会紧张,是因为注射麻醉时候开始感受到了疼痛,让神经集中,所以舒适种牙的第一步就是要给我降低疼痛感。

医生说会给我用美国进口的STA麻醉技术系统,我一直不相信会有无痛的种植牙和麻醉手术,但这一次我终于认可了,我的牙周膜和腭部并没有以前拔牙打麻醉时的疼痛感。身边不少人缺牙,面对我这样的举措很难理解,我想也有很多跟我情况差不多的人,身边总有这样的声音,“一把年纪了,老年人了还有啥必要种植牙?”“种牙太贵了,得给小孩在增加负担了!”“年纪那么大,老年人做种植牙安全不安全啊?”
我做过活动牙,为了给孩子省钱,吃饭的时候含着假牙不敢咀嚼,因为活动牙脱落过,差点就误吞了,我每天带着小孙子玩,小孙子总觉得我口臭不让我亲…每天摘下来的时候小心翼翼,怕挂钩勾伤牙龈,看看我这被活动牙挂钩勾出来的沟壑。我们那个年代的人,节衣缩食成习惯了,左邻右里听说我要种牙,议论声一片,好像总觉得老人家就应该为家为孩子,继续隐忍付出,其实,我们也能有晚年的春天,能想吃就吃,能健健康康。
改变开始
准备手术
“准备做手术了,大爷您别紧张,我们有四个人呢,您看这个是给你种牙的博士,我是给您负责巡航的护士,还有俩助理,您放心。”68岁的我真躺在手术椅上,护士在给我做术前的精神疏导,这次我终于下定决心种牙,希望能让缺牙的牙重新长出来了。
躺在牙椅上,佩戴好心电监护,看着给我种牙的医生团队有条不紊,我感到安心,但还是有点小紧张。躺在手术椅上我的在想,68岁了,不必再为孩子而活,接下来我的晚年生活可能更多姿多彩,我规划好了,接下来我准备出去旅游,准备学个摄影,准备约上战友成立个钓鱼队,准备吃遍天下美食,准备过个轰轰烈烈的夕阳年。

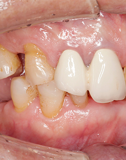
缺了8颗牙,名副其实的“缺牙一颗带坏全口”,在检查后,我右边的第一缺牙已经有严重的骨萎缩了,是“纸片骨”,种牙难度很大,我从湖南跑到深圳,可以说一路都在对比医院和方案。
我听过的拒诊理由很多,有“年纪太大了,怕风险高”,“你这骨量不好,种牙难度太大了”,“缺牙数太多,难度也大,可以做但是很贵,你还是换其他方法吧”,在这里我看到了希望…医生技术好,还会为我省钱,给过做种植体+冠桥,缺了8颗大牙,种6颗种植体就够了。
面对我参差不齐的骨量,整个团队都围绕着我想方案,最终确定了给我骨粉骨膜搭配植骨的方式重新夯实我的骨量,老爷子我很感恩。


在我缺牙第一颗的时候,我就因为价格选择了活动牙。现在,我因为一副活动牙,逐渐损失了七颗好牙。人生啊,成佛成魔一念间。在深圳做种植牙的费用没有比其他城市贵多少,相反,我遇到了好的医院和医生,他们还给我少用了两颗种植体,帮我节省了种牙的费用。今天是我种好牙的第二天,因为口内植骨了,有点肿胀,麻药退了之后,我吃了医生开的消炎药,正常的服用温凉流食,按医嘱漱口,医生和客服工作人员都在给我贴心的回访,我感觉到很放心。

老爷子我做种植牙的费用明细想公开一下,我长期缺牙所以骨量都萎缩了,所以选了比较好的种植体,费用是六个种植体和基台,加上八颗全瓷牙冠,植骨手术和骨粉骨膜的费用另外算。所以呢,年轻人啊,缺牙了就赶紧去种牙吧,别选不合适的镶牙方法,年纪轻轻呢,后半辈子比我更精彩,何必搭上剩下健康牙齿的幸福?种植牙和镶牙之间,你们还是种牙吧。
术后第10天
过去十天了,今天去拆线,然后歇上一段时间,我的手术创口比较多,难免要缝合。种植体重新拍摄了CT,植入良好,医生今天给我检查,种植牙术后并没有肿胀,恢复的还算不错,看来我老骥伏枥,体质还不错,也感谢医生种牙技术的高超,种植体都是微创的手术,种植牙的创口减小了,种植牙术后就更容易恢复了。

我记得种植牙手术的前一天晚上,还收到了老伴的微信,一直问我“你说你年纪这么大了去做种植牙,手术安全不安全?”种完牙出来后,我给老伴发了个照片,就是我和种牙医生团队的合照。年纪大了身体情况更复杂,有三高,口腔情况也更复杂,都有些牙周病,像我,缺牙多颗还有骨量不足的情况,所以年纪大的人想做种植牙,得仔细挑选医院和医生,咱们输不起,钱没了事小,健康才是最可贵的。我是湖南人,一路南下到深圳,也就是为了找个好医院好医生。
做种植牙手术要放宽心,你要相信你的医生团队,专业的事情他们比咱们懂,我种牙之前也没少磨叽我的医生,看他专业不专业,有没有耐心,我跟他说过,我年纪大了,血压不好,我很怕种牙太疼了自己很紧张,让自己血压升高。他跟我说他会用进口的麻醉系统,让我从麻醉的那一刻开始,就是舒服的,全程都没有疼痛的刺激,就不会太紧张了,事实证明,他也是这么做的。

在种植牙之前,我在这里做了不少精密的检查,从身体检查,到血液化验,到口内CT等等,种植牙虽然很好,但确实有适应症,还是要从自己的实际情况出发,只要到了正规的医院,他们一定会给你中肯的建议。
*提交信息后,工作人员将致电回访,与您确定到院时间,小麦为您自动排号,为您节省看牙的时间。




转载
咨询