
【牙齿意外脱落】
【牙裂/缺损】
【牙缝大/牙列稀疏】
【黄牙/黑牙/色素牙】
【牙釉质发育不全】
【烤瓷牙失败】


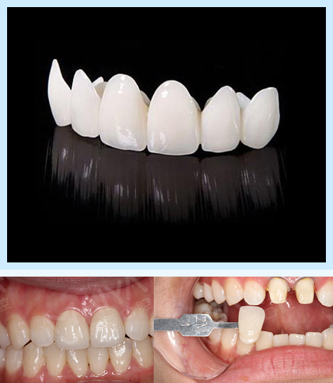
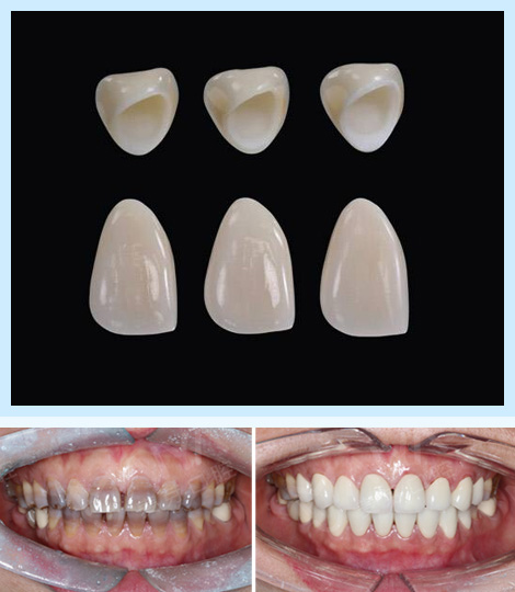
麦芽口腔美学修复中心引入全数字化口腔科技及欧美生态全瓷材料,可根据顾客的脸型、唇形、牙齿形态、排列状态等行个性化综合设计,不仅考虑咬合关系,更兼顾牙颌面的整体美观与协调,设计出符合美学、医学、材料学、口腔力学的明星全瓷牙。


麦芽仿生美容冠在扫描、设计、加工以及修复环节,全流程采用数字化修复方案,采用仿生材料,色泽逼真、通透自然,媲美真牙,持久耐用。



采用高科技生物材料,对牙龈无刺激、无过敏反应,磨牙少,没有金属基底冠的存在,有效避免了金属过敏和牙龈黑线等问题的出现。外形美观自然,可达到仿真效果。



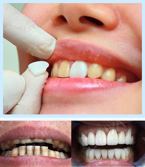
根据求美者牙齿高低厚薄进行3D精细化量齿定制,采用牙齿粘结技术,在保存活髓、不磨牙的情况下,对牙体表面缺损、着色牙、变色牙和畸形牙等用高科技瓷修复材料粘结覆盖其表面,以恢复牙体的正常形态和改善其色泽。















