



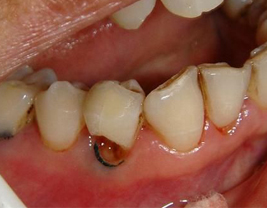
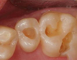
修复原理:将牙齿上的龋坏组织祛除并将洞按要求做成一定形状,然后使用补牙材料将牙齿龋洞填充,恢复牙齿的形状和功能。
| 美观指数:***** | 价格指数:** |
| 时间指数:**** | 舒适指数:***** |
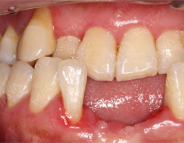
修复原理:可在基本不磨牙的前提下,对牙体表面缺损、着色、变色牙等用瓷修复材料粘结覆盖,恢复牙体的正常形态和改善其色泽。
| 美观指数:***** | 价格指数:***** |
| 时间指数:***** | 舒适指数:***** |
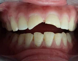
修复原理:牙齿出现残缺、牙齿断裂等大面积缺损时,可用烤瓷牙冠或全瓷牙冠的方式修复,全瓷牙美观度更高、基牙磨损量更低。
| 美观指数:***** | 价格指数:*** |
| 时间指数:**** | 舒适指数:**** |

适应范围广泛,价格较便宜
大部分缺牙患者都可选择,但恢复咀嚼力稍显不足,易引起牙周疾病
固位力是传统假牙的1.5倍
大部分缺牙患者都可选择,通过稳定的磁吸引力来固定假牙
缺一补三以桥的形式承担受力
寿命取决于基牙的稳定程度,牙周病患者、余牙松动等情况慎选
