传统口腔医院面对儿童牙齿排列问题,会采取矫正器,但麦芽口腔医院的总院长郑苍尚教授,建议选MRC进行早期干预!
MRC早期干预治疗
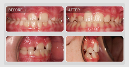
通过纠正不良口腔习惯排齐牙齿,引导牙颌正常发育。
不良口腔习惯、牙齿畸形面部肌肉运动以及口呼吸等。
3~15岁,乳牙、替牙期。
借助牙槽骨改建速度,纠正不良口腔习惯等,塑造整齐牙。
不拔牙、不手术、风险低。
PK
治疗
原理
解决
问题
年龄
范围
群体
特点
风险
评估
传统牙套矫正治疗
通过牙槽骨改建,简单粗暴矫正畸形牙。
牙齿畸形
8~15岁
牙槽骨改建速度非常快,口腔习惯不纠正,助长复发反弹。
个别特殊情况,矫正确实需要拔牙,无可厚非。
| 综上所述 |
1、对儿童进行早期干预矫治,可促进形成良好的口腔习惯;
2、MRC矫正口腔习惯、面部肌肉运动后,还能矫正牙齿;
3、MRC矫正后的牙齿,不会出现反弹;
4、传统矫正器矫正,在8岁后进行,需佩戴更久的矫正器与保持器。
MRC和矫正器有什么区别
儿童干预矫正

MRC,孩子的口腔管家
麦芽口腔正畸科按年龄划分为:儿童干预中心、青少年矫牙中心与成年人矫牙中心,针对不同年龄段的牙颌发育特点,设计方案,MRC通过纠正乳牙期不良坏习惯来达到防治牙畸形的目的。
爸妈没空纠正坏习惯时,它是孩子的口腔管家
塑造好习惯,排出整齐牙