



清洁死角多易蛀牙
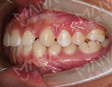
咬合错乱影响咀嚼
变成弯月脸、小鸟嘴
咀嚼功能导致肠胃病


1、正畸团队丰富的正畸经验和专业素养
几经对比发现,麦芽口腔的美学正畸科室,在深圳极具规模、技术力量,首先麦芽是专科口腔,其次美学正畸科室的医疗团队以张超、周悦、江洋主任为核心,协力创造矫牙成功案例数位居市前三的骄人成绩,正畸就得看医生的成功案例数,所以我放心!
2、正规的正畸授权、资格认证
国际上的知名正畸厂商如隐适美、时代天使、美国3M等都有独家专利,医院机构、医生要开展,一定要拿到正规授权、资格认证,在麦芽口腔均可查询到这些授权协议、医生认证,所以正我更放心!
3、丰富多样的成功正畸案例库
矫牙成功的案例数,代表了医生矫牙真正的实力。据调查发现,深圳十佳节目主持人田欣伟都在麦芽口腔矫牙,除此外麦芽口腔具有修复正畸失败案例的能力,可见矫牙实力真的非同一般。
4、矫牙过程的服务贯彻矫正前中后
通过多方查询,俊斌父亲发现正畸的时间跨度大,他认为:“矫正既然是个时间活,医护团队一定要贯彻始终,确保效果”。麦芽荣获“2016年医疗服务质量A级单位”,在服务上肯定不差!


前台客服人员热情接待
拍摄正畸口内照、外观照
德国KAVO锥形束CT采集牙颌、头颅信息
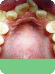
张主任耐心讲解俊斌的牙齿畸形情况
为俊斌演示隐适美矫牙方案的预期效果
多方位展示该方案下不同阶段的移动情况
张主任为俊斌设计的矫牙方案
耐心教俊斌如何自由摘戴隐适美
俊斌轻松掌握隐适美摘戴的技巧





一次性将获取的牙颌、颅面信息等转化成数字化印模的牙科研究模型,减少误差
通过精准的数据传输,于clincheck完成方案设计,精确模拟方案中的力度、扭度等
隐适美需定时佩戴,避免中途牙套无法佩戴矫牙失败,麦芽的医务工作者定时提醒




